- インプラント治療の症例1(上顎の奥歯と前歯がない)
- インプラント治療の症例2(右下奥歯がない)
- インプラント治療の症例3(右上奥歯がない)
- インプラント治療の症例4(前歯の歯根破折)
- インプラント治療の症例5(歯が1本もない・インプラントで入れ歯を支える)
- インプラント治療の症例6(上下の歯が複数本ない・咬合崩壊)
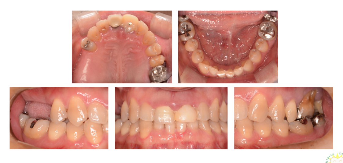
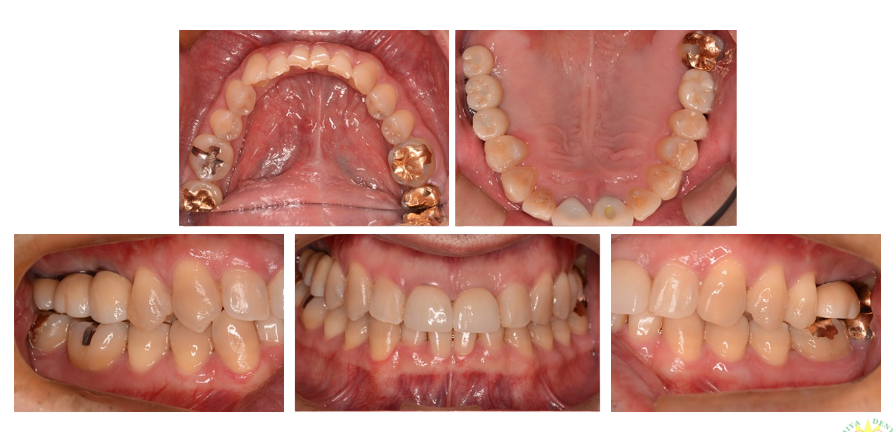
インプラント治療の症例1
(上顎の奥歯と前歯がない)

治療前

治療後

| 診断名・主訴 | ①右上インプラント希望 ②前歯と左上が痛い |
|---|---|
| 年齢 | 45歳 |
| 治療期間 | 2年間 |
| 治療内容 | インプラント治療 |
| 治療に用いた主な材料、設備機器 | 京セラFINESIAインプラント 上部構造:ジルコニアセラミック |
| 抜歯部位 | 左上1・6 |
| 治療費 | 約250万 |
| リスク・副作用 | 術後出血や腫れ |
インプラント治療の症例2
(右下奥歯がない)

治療前

治療後

| 診断名・主訴 | ①右下に歯を入れたい |
|---|---|
| 年齢 | 41歳 |
| 治療期間 | 5ヶ月 |
| 治療内容 | インプラント治療 |
| 治療に用いた主な材料、設備機器 | 京セラFINESIAインプラント 上部構造:ジルコニアセラミック |
| 抜歯部位 | なし |
| 治療費 | 約80万 |
| リスク・副作用 | 術後出血や腫れ |
インプラント治療の症例3
(右上奥歯がない)

| 診断名・主訴 | ①右上インプラント希望 |
|---|---|
| 年齢 | 71歳 |
| 治療期間 | 7ヶ月 |
| 治療内容 | インプラント治療 |
| 治療に用いた主な材料、設備機器 | 京セラFINESIAインプラント 上部構造:ジルコニアセラミック |
| 抜歯部位 | なし |
| 治療費 | 約100万 |
| リスク・副作用 | 術後出血や腫れ |
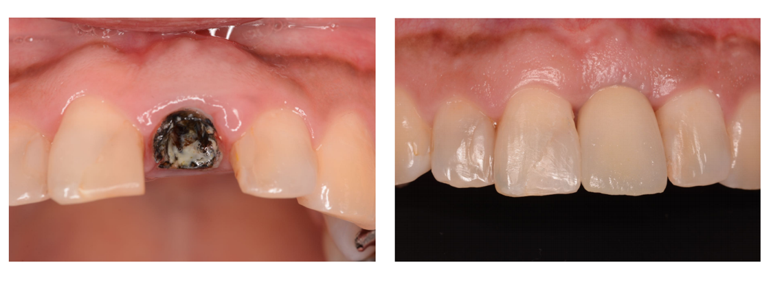
インプラント治療の症例4
(前歯の歯根破折)

| 診断名・主訴 | 左上1歯根破折 |
|---|---|
| 年齢 | 39歳 |
| 治療期間 | 1年間 |
| 治療内容 | インプラント治療 |
| 治療に用いた主な材料、設備機器 | 京セラFINESIAインプラント 上部構造:ジルコニアセラミック |
| 抜歯部位 | 左上1 |
| 治療費 | 約50万円 |
| リスク・副作用 | 術後出血や腫れ |
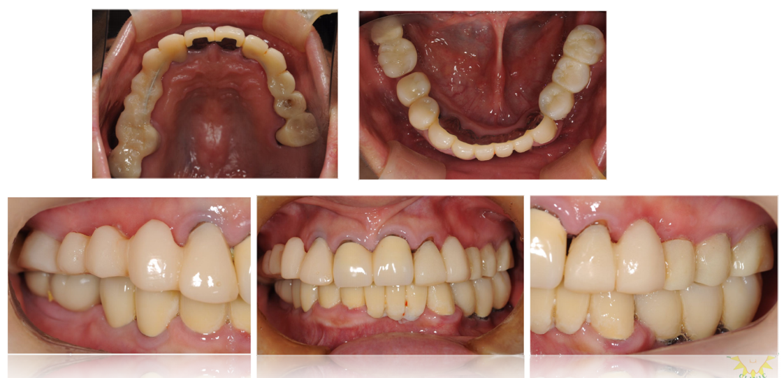
インプラント治療の症例5
(歯が1本もない・インプラントで入れ歯を支える)

治療前

治療後

| 診断名・主訴 | ①歯茎が腫れる ②入れ歯を作りたい |
|---|---|
| 年齢 | 72歳 |
| 治療期間 | 1年間 |
| 治療内容 | インプラント義歯治療 |
| 治療に用いた主な材料、設備機器 | 京セラFINESIAインプラント 上部構造:義歯 |
| 抜歯部位 | 下顎 |
| 治療費 | 約200万 |
| リスク・副作用 | 術後出血や腫れ |
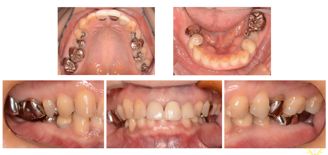
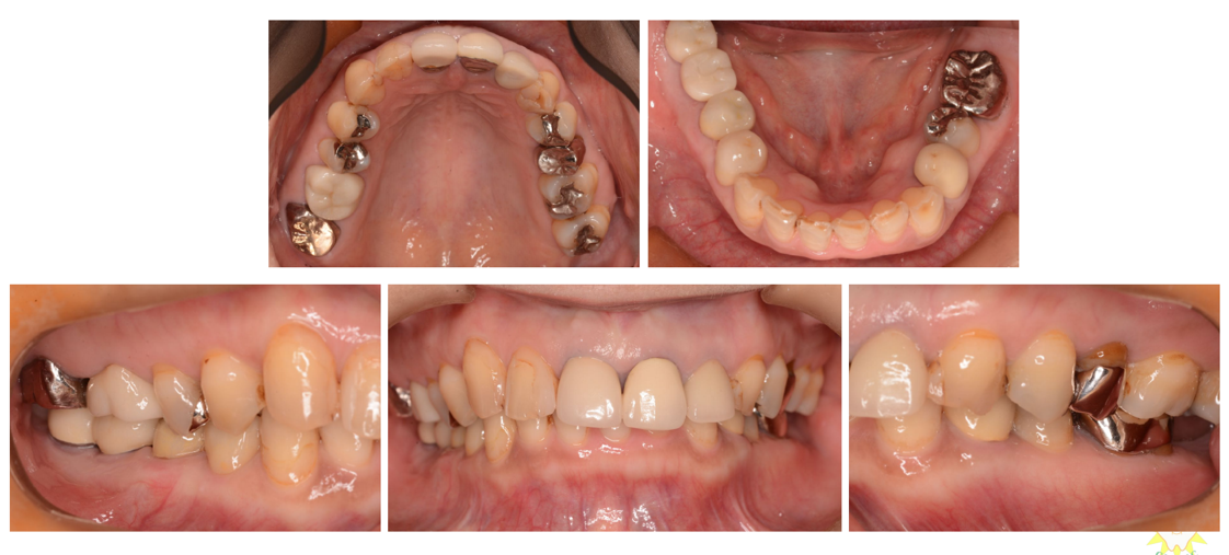
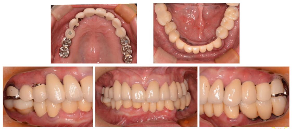
インプラント治療の症例6
(上下の歯が複数本ない・咬合崩壊)

治療前

治療後

| 診断名・主訴 | ①治療の続きをしてほしい ②インプラント希望 |
|---|---|
| 年齢 | 50歳 |
| 治療期間 | 3年間 |
| 治療内容 | インプラント治療 |
| 治療に用いた主な材料、設備機器 | 京セラFINESIAインプラント 上部構造:ジルコニアセラミック |
| 抜歯部位 | 右上8・6・2 左上5・6 |
| 治療費 | 約350万 |
| リスク・副作用 | 術後出血や腫れ |
