根管治療を成功させるために
「マイクロスコープ」を使用
当院では、根管治療において歯科用顕微鏡「マイクロスコープ」を活用しています。
マイクロスコープは肉眼では見えない細部を最大20倍程度まで拡大し、ライトによって根管内を明るく照らすことができます。そのため、これまで歯科医師の感覚に頼りがちだった根管治療を、確かな視野のもとで行うことが可能となりました。
見えなかった部分がしっかりと確認できることで、むし歯の取り残しや再感染のリスクを抑え、より精密で安心できる治療へとつながります。
マイクロスコープを使用するメリット
従来の根管治療は肉眼で進めることが多く、非常に複雑で細い根管の奥まで確実に確認することは困難でした。そのため、感染部分を取り残したり、健康な歯質を必要以上に削ってしまったりするリスクがありました。
当院では歯科用顕微鏡「マイクロスコープ」を導入し、最大20倍の拡大視野で根管内を鮮明に確認しながら治療を行っています。これにより、感染部分を的確に取り除きながら歯を保存することが可能になります。
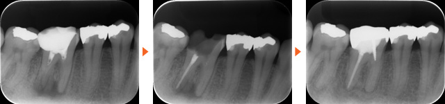
根管治療とは?
根管治療は、歯の内部にある神経や血管が細菌に感染した際に行う処置です。むし歯が神経まで進んでしまった場合や、外傷によって歯の根が折れたりヒビが入ったりした際に適応されます。
治療では、まず感染した神経を取り除き、根管と呼ばれる細い管の中を丁寧に形成・洗浄・消毒します。根管は非常に細く暗い上に複雑な形をしているため、繊細で時間のかかる処置が必要になります。そのため、治療が一度で終わることは少なく、複数回の通院が必要になる場合があります。
根管治療は歯を残す最後の砦
根管治療のメリット

根管治療は、神経まで細菌が到達した重度のむし歯に対して行う処置で、歯を抜かずに残すための「最後の砦」といえる治療です。もし根管治療を行わなければ、感染はさらに広がり、抜歯を避けることができなくなります。
この治療を適切に行うことで、むし歯による激しい痛みから解放され、さらに失われた歯の形を修復することも可能になります。治療後は歯の土台を整え、クラウンなどの被せ物を装着することで、機能性と見た目の両面を回復させることができます。
当院の根管治療
正確な診断が可能な「歯科用CT」
歯科用CTは、歯や顎の内部を三次元で撮影できる装置です。根管は非常に細く複雑な形をしており、歯によっては複数に枝分かれしています。従来の平面的なレントゲンでは確認が難しかった部分も、CTによる立体画像なら鮮明に把握できます。
これにより、根管の構造や感染部位の位置・大きさを正確に診断できるため、治療の精度が格段に向上します。
細菌感染対策に役立つ「ラバーダム」
根管治療では、治療中に唾液が入り込むと細菌感染のリスクが高まり、再発の原因になることがあります。その対策として当院では「ラバーダム」という薄いゴム製シートを用いて、治療する歯だけを露出させる方法を取り入れています。
ラバーダムを使用することで唾液や細菌の侵入を防ぎ、清潔な環境で処置を行うことが可能になります。その結果、治療の成功率を高め、長期的に歯を守ることにつながります。
(※ラバーダムの使用有無は症例によって歯科医師が判断します。)
歯髄除去の負担を少なくできる「ニッケルチタンファイル」
根管治療では、感染した神経や組織を除去する際に「ファイル」と呼ばれる器具を使用します。従来のステンレス製ファイルは硬く、曲がった根管に入らない場合や根管壁を傷つけてしまうリスクがありました。
一方で、ニッケルチタンファイルはしなやかで弾力があり、複雑に曲がった根管にも柔軟にアクセスできます。これにより、損傷を与えることなく精密な清掃が可能となり、患者様への負担も軽減できます。
封鎖性に優れた「MTAセメント」
根管治療の最終工程は、清掃した根管を隙間なく封鎖する「根管充填」です。一般的にはガッタパーチャという樹脂を使用しますが、根管に穴が空いていたり、根の先端が破壊されているケースでは封鎖が不十分になることがあります。
当院では、こうした難症例に対して封鎖性に優れた「MTAセメント」を使用しています。MTAは細菌の侵入を防ぐ力が強く、生体親和性も高いため、治療後の経過が良好になりやすい特長があります。さらに再石灰化を促し、歯の組織を修復・再生する効果も期待できます。
