お久しぶりです!!1階の本間です^o^ 久しぶりに、ブログを書いたんですが、ちょっとテンパりました(汗) 1年もあっという間で、もうすぐでクリスマスですね☆★歯医者もクリスマスの飾り付けしてます(^o^) 歯医者の玄関入...


気が付けばもう年末・・・
2012.12.06
こんにちは浜野です^^* 今年もあともう少しで終わり。1年間早かったな・・・・ 8月の明快塾から何か月間はあっという間でした^^; 9月に体調を崩して長く休んでしまい、スタッフや患者さんにご迷惑おかけしました。 健康であ...

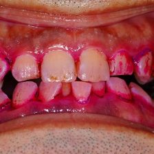
バイオフィルムの存在を・・・
2012.12.03
小野田です。 すっかり寒くなり免疫力が落ちているのか風邪ばかりひいています。 しっかり体にいい食事を心がけて・・・ 最近、メンテナンスの患者さんに強制的にやらせていただいています染め出しも定着してきました。 小さい頃にや...

はじめまして(=^・・^=)
2012.11.21
みなさんこんにちわ! 9月から入りました、新人の多賀谷綾夏です(^^)♪ 最初なのでまずは自己紹介からいきます! スタッフからはあーちゃんって呼ばれてます(^^) みなさん気軽に呼んでください(笑) 歳は今年で19歳にな...

お久しぶりです・・・
2012.11.17
こんにちわ(。・ω・)ノ゙ ずっとブログを更新してませんでした・・・すみません(。-人-。) とゆーことで久々の更新は佐藤でお贈りいたします^^ もうそろそろで今年も終了・・・ 早い!ちょっと前に2012年になったばっか...





