小野田です。 4月1日・・・ あっという間でした・・・ 最近ニュースでもかなり騒がれている消費税問題。 歯科医院でももちろんですが、自費治療・歯ブラシなどのケア用品は5%→8%に変わっています。 ですが、メインテナンス...


3階と春と花粉・・・
2014.03.15
こんにちわ!佐藤です!! 最近はすっかり暖かくなってポカポカ陽気ですね・・・ 着々と春が近づいています。 話は変わりますが日比谷歯科の3Fの改装が無事終わりました! ちょこっとお披露目・・・ じゃーーーーん!! 1・2F...

おめでとうございます☆
2014.03.03
浅井です! あっというまに3月ですね ^^ 今日は、みんな大好き森谷さんに♪ お誕生日のケーキをプレゼントしました ^^ 喜んでもらえて私たちもとってもうれしかったです♪ 森谷さんお誕生日おめでとうございます! 良い一年...

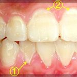
バイオフィルムプラーク
2014.02.22
小野田です。 先日の雪皆さん大丈夫でしたか?? 私は・・・ 涙 何度もうるさく言っていますが、今日も私が一番重要視していることを書きたいと思います。 私の施術を受けている方は『またか!』と思うと思いますが本当に大切なこと...

ゆーきだ♪コンコン♪
2014.02.08
こんにちは、受付の広瀬です。 今日は昨日から予報で言われていた通り朝から雪が舞っています。 まだ今の所、雪も積もっていないですが、、、これからどんどん積もることでしょう。 はたして今日、無事に帰れるのか今からとても心配し...




