こんにちは!アシスタントの安倍です。 夏も終わりだんだんと涼しくなってきましたね! 秋といえば、、、 食欲の秋っ!!!笑 読書の秋とも言いますが、私の中では断トツで食欲の秋です♡ そこで先日、夏も終わったことだしダイエッ...

身体の健康と口腔内の関係
2014.09.08
小野田です。 昨日は私が一番力を入れている勉強のセミナーでした。 毎回新しい情報があり、本当にいつも勉強になります!!! 今回は満員でした!!! 皆さんにまた新しい情報をお伝えし、口、身体の健康管理をもっと していけた...

スーパー癒し系プレゼント♡
2014.08.28
森谷です、こんにちは! 最近とっても涼しくなりました。 このまま秋にGOしてほしいですが、そうもいかないんですかね。 ♪ ♪ ♪ ♪ ♪ ♪ 今日は、先日患者さんから頂いた素敵なプレゼントをご紹介します!! ハムスターの...

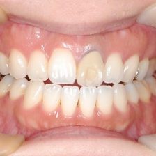
毎年ですが・・・夏はやっぱりホワイトニングでね!
2014.07.05
小野田です。 暑くなってきましたね・・・ スタッフの中でも海・・・水着・・・ 若いですね・・・ (笑) 毎年ですがこの時期はホワイトニングをスタートする方がかなり増えますね! 気温も暖かいので知覚過敏を軽減できるのでまさ...




