毎年ですが・・・夏はやっぱりホワイトニングでね!
2014.07.05
小野田です。
暑くなってきましたね・・・
スタッフの中でも海・・・水着・・・
若いですね・・・ (笑)
毎年ですがこの時期はホワイトニングをスタートする方がかなり増えますね!
気温も暖かいので知覚過敏を軽減できるのでまさにVESTな季節♪
夏は歯を白くし素敵な笑顔で記念写真もいいですね~♪♪♪
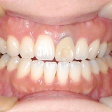
ここで最近ホワイトニング+被せ物交換が終了しました患者さんを・・・
術前写真

そして術後の写真
写真が下手ですいません・・・
キレイになりましたね☆
そして、NEW衛生士さんのご紹介です。
♡♡木村さん♡♡ です。
いつも笑顔で、可愛いですね~♪
時間は6時までいます~☆ 皆さんよろしくお願いします。
いつも笑顔で、可愛いですね~♪
時間は6時までいます~☆ 皆さんよろしくお願いします。
日比谷歯科:https://www.hibiyashika.com/
電話:03-3880-8148
住所:〒121-0011 東京都足立区中央本町5-7-17 セントラル商事ビル
最寄り駅:東武スカイツリーライン「梅島駅」より徒歩10分
