バイオフィルムプラーク
2014.02.22
小野田です。
先日の雪皆さん大丈夫でしたか??
私は・・・ 涙
何度もうるさく言っていますが、今日も私が一番重要視していることを書きたいと思います。
私の施術を受けている方は『またか!』と思うと思いますが本当に大切なことなんです!!!

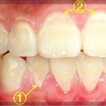
皆さんも1度は自分の口の中で見たことがあると思いますがこれがバイオフィルム(歯垢)です。
初めてのクリーニングに来た方はこれを食べかすと思っている人がほとんどです。
実は、
じゃじゃ~ん!!!
細菌が集まってできた物なんです・・・
肉眼では分かりませんが歯の表面に付着し、その場で生存しています。
動いてるんです・・・
動いているということは・・・
全身にも血管の中を通ってまわります・・・
この写真のように様々な病気の原因になっているといわれています。
本当に怖い話なんですが、やはり目で見えないことだと皆さんなかなか・・・
病気になってからでは手遅れなんです・・・
何でもできることから日々やっていきましょう!!!
クリーニングを行う際、このバイオフィルムを徹底的に除去できるアイテムがあり、私は
患者さんに使用しているものがあります。
アミノ酸のパウダーと水、エアーのジェットでミクロの細菌にもアプローチができ、さらに口腔内の安定にもつながるアイテムです。
実際これを使用してから口腔内が安定している患者さんがた沢山います。
私も結果を出しているので積極的に使わせて頂いています。
皆さんの健康のために頑張ります!
実際これを使用してから口腔内が安定している患者さんがた沢山います。
私も結果を出しているので積極的に使わせて頂いています。
皆さんの健康のために頑張ります!
日比谷歯科:https://www.hibiyashika.com/
電話:03-3880-8148
住所:〒121-0011 東京都足立区中央本町5-7-17 セントラル商事ビル
最寄り駅:東武スカイツリーライン「梅島駅」より徒歩10分
