ぺリオウェーブの効果
2011.10.28
こんにちは、小野田です。
今日も朝は寒かったですね・・・
日中はお日様ぽかぽか・・・ 体調崩している方たくさんいらっしゃいます。
手うがいはしっかりしましょう~!
今日は、以前もお話したことがありますが、光殺菌法(ぺリオウェーブ)の効果がよくわかる
症例がありましたので報告したいと思います。

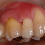
6ヶ月に1回は定期的にメンテナンスしていた患者さんでしたが、ある日右上が腫れてしまい来院。
そこでぺリオウェーブの説明をして治療を行ないました。
まず専用のバイオジェルを入れます。
無熱レーザーを照射。
終了。
そして、2週間後・・・
腫れがすっかり落ち着いているのが分かると思います。
この患者さんは発作的な腫れだったので1回で落ち着きましたが、場合によっては1~3回行なう場合があります。
最近ではメンテナンス時に毎回殺菌して欲しいとの方も・・・
歯肉が引き締まった感じが・・・ 軽くなった気が・・・
患者さん自身でも良くなっていることが実感できます。
毎回ぺリオウェーブ中は呼吸が止まるくらい真剣になる私が・・・
笑
この患者さんは発作的な腫れだったので1回で落ち着きましたが、場合によっては1~3回行なう場合があります。
最近ではメンテナンス時に毎回殺菌して欲しいとの方も・・・
歯肉が引き締まった感じが・・・ 軽くなった気が・・・
患者さん自身でも良くなっていることが実感できます。
毎回ぺリオウェーブ中は呼吸が止まるくらい真剣になる私が・・・
笑
日比谷歯科:https://www.hibiyashika.com/
電話:03-3880-8148
住所:〒121-0011 東京都足立区中央本町5-7-17 セントラル商事ビル
最寄り駅:東武スカイツリーライン「梅島駅」より徒歩10分
