昨日からGWになりましたね^^ 7連休の方もいるみたいで羨ましいです!! 4月になったので、1階の待合室の絵本も増えユニットで流しているDVDも新しくなりました。 一番奥のユニットで流しているのは、"となりのトトロ"です...

お口の中がすっきり~ -SOSORO&ProFresh- 口臭予防!!!
2011.11.24
こんにちは、小野田です。 本当に暑くなりましたね・・・ さすがに身体もお疲れな様で昨日は内科さんにお世話になりました・・・ 仕事中は元気なんだけどな~ 先日私は、口臭セミナーに行き色々な商品を知り試してみました!!! 日...

マイナス1歳からはじめるむし歯予防
2011.11.14
お久しぶりです^^;濱野です。 久々のブログの内容はセミナーのお話です。 昨日、私・小野田・坂本先生の3人で岡山大学の仲井先生のセミナーに参加してきました。 以前に小野田が仲井先生の講演を聴いたのがきっかけで、今回...

感動 ~あなたの干支は?~
2011.10.31
小野田です。 今日は、患者さんからとても素敵な頂き物を・・・ とてもいい香り~ なんと中に、手彫りの阿弥陀如来様が!!! 私は戌年なのでこちらの阿弥陀様をもっているといいそうです。 握っているとなぜか落ち着きます・・・ ...

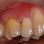
ぺリオウェーブの効果
2011.10.28
こんにちは、小野田です。 今日も朝は寒かったですね・・・ 日中はお日様ぽかぽか・・・ 体調崩している方たくさんいらっしゃいます。 手うがいはしっかりしましょう~! 今日は、以前もお話したことがありますが、光殺菌法(ぺリオ...





